Joven vive 17 años con su 'hermano gemelo” pegado dentro de su cuerpo
Una joven de 17 años de edad vivió con su hermano gemelo pegado en el abdomen
- 19
-
Agosto
2019
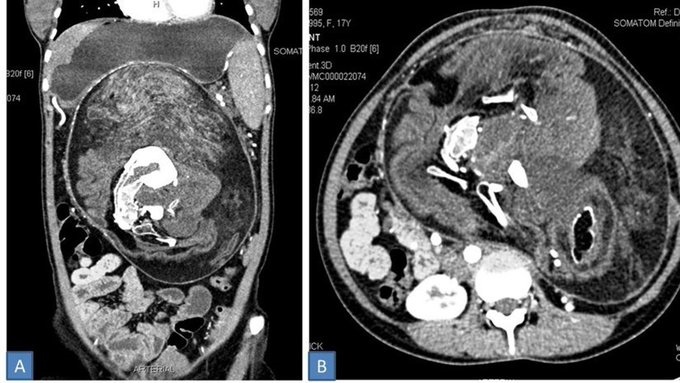
Los médicos han extraído del abdomen de una joven de 17 años, un 'hermano gemelo' que se encontraba en el interior de su cuerpo durante toda su vida sin que ella lo supiera.
Se trata del fenómeno llamado 'fetus in fetu' (FIF), que se produce debido a una "rara anomalía del desarrollo en la que un feto malformado se halla dentro del cuerpo de otro gemelo".
¿Pero cómo supo que tenia a su “hermano gemelo” pegado dentro de su cuerpo? La joven se encontraba pasando por una etapa de sentirse saciada tras ingerir poca comida y presentaba fuertes dolores en el abdomen.
Ante la preocupante situación, la joven acudió con el doctor y se reveló que tenia pegado en su abdomen el feto de su “hermano gemelo” que medía 30×16×10 centímetros e incluso tenía pelos y "múltiples dientes".
El feto de su “hermano gemelo” había desarrollado un tumor desde que la joven tenia 12 años, razón de los dolores y molestias que presentaba día a día.
Tras una intervención quirúrgica, los doctores lograron extirpar al “hermano gemelo” de la joven de 17 años de edad, la cual afirma que su abdomen ya es plano y se “siente muy bien”.
En na publicación en BMJ Case Reports, se revela que el “fetus in fetu” es una "condición extremadamente rara" que se detecta en su mayoría en niños.
Comentarios
Notas Relacionadas
Últimas Noticias
Más Vistas



